Designed for mammalian and insect cell culture, superior to traditional shake flasks making shake cabinets a much more efficient space in the lab.

Optimum Growth® System

Shake Flasks
Designed for mammalian and insect cell culture, superior to traditional shake flasks making shake cabinets a much more efficient space in the lab.

Special Flasks
Thomson Optimum Growth® Special Flasks were designed with the unique needs of small-to-medium-scale bioprocessing applications

Transfer Caps
Eliminates intermediate vessels for scale up & seed cultures

Rapid Clear® Cap
Quickly and efficiently clarify cell culture media directly from the Thomson 5L Optimum Growth® shaker flask without the need for centrifugation
Scale up with Optimum Growth® 7L Flask
The Bioprocessing Choice for Large-Scale Cell Culture
The Thomson Optimum Growth® 7L Flask delivers reliable scalability for high-volume cell culture, optimizing protein production for CHO, HEK293, and insect cell applications.
Key Features
Single-use, robotic-friendly design saves time and space.
Outperforms 200L bioreactors and 50L wave bags in yield and viability.
Supports 5-6L for CHO, HEK293, and insect cells, yielding up to 35L per shaker.
Scale seamlessly from 125mL to 7L with consistent results.
Proprietary baffles ensure high aeration, low shear, and maximum protein yield.

Optimum Growth® Flasks
Scalable from 125mL up to 7L
Thomson Optimum Growth® Flasks (patented) for mammalian and insect cell culture come in multiple sizes of 125mL, 250mL, 500mL, 1.6L, 2.8L, our popular 5L, and new 7L.They are superior to traditional shake flasks due in part to the fact that they support a 40-50% or larger fill volume versus 33% fill volume making your shake cabinet a much more efficient space.
Baffles designed for high aeration and low shear to maintain cell viability
Same footprint as comparable Fernbach flask but with a 40-50% fill volume
Less foaming than disposable Fernbach potentially eliminates additives
0.2μm Vented Cap simultaneously maintains high gas exchange and sterility
Transfer cap option connects directly to cell bags or bioreactors with multiple connection options
Scalability from 125mL up to 7L lets you mix and match different flask sizes in your shaker greatly improving space efficiency
Individually packaged and sterilized for immediate use

All Sizes Shake At The SAME Optimal Shake Speed
Maximize Shaker Space Efficiency
Thomson Optimum Growth® Flasks in all sizes shaking at an optimal shake speed of 140 rpm on a 1" (2.54cm) throw shake platform.
Note: that virtually every square inch of platform space is utilized

Space Saving More Volume
Optimum Growth® Flasks give excellent growth with space saving capability.
See Optimum Growth® Accessories
Fill Volume & Shake Speeds For Mammalian, Hybridoma, Insect & Microbial
Working fill volume & shake speeds for Optimum Growth® Flasks for the best advertised results.
| Flask Size | Fill Volume | Working RPM Range 1" (2.54cm) | 2" (5.08cm) | Vol./Size Ratio |
|---|---|---|---|
| 125mL-LE* | 20-40mL | 100-200 | 90 | 16-32% |
| 125mL | 50-63mL | 140-150 | 110 | 40-50% |
| 250mL | 100-125mL | 140-150 | 110 | 40-50% |
| 500mL | 200-250mL | 140-150 | 110 | 40-50% |
| 1.6L | 400-900mL | 140-150 | 110 | 25-56% |
| 2.8L | 1.0-1.4L | 140-150 | 110 | 40-50% |
| 5L | 2.0-2.5L | 140-150 | 110 | 40-50% |
| 7L | 2.8-5L | 140-150 | 110 | 40-70% |
* Low evaporation for low volume applications
Visit More of the Optimum Growth® System
The Erlenmeyer Flask Was Invented In 1860... For Chemistry

"The honest truth; I wish I had Thomson Flasks back in 1861."
- Abraham Lincoln

It hasn't changed in over 160 years!

Optimum Growth® Flasks Offer Ease of Use With Consistent Growth During Scale Up
CHO-K1 TRANSIENT CELL LINE
Scale Up Performance

● = VCD
∆ = Viability
Optimum Growth® Flask
Standard Flask
Optimum Growth® Shake Flask:
63mL → 400mL → 1300mL
Standard Shake Flask:
30mL → 100mL → 400mL → 2.5L
- Consistently high viability and VCD in Optimum Growth® flasks assures quick scale up to high volumes at an accelerated rate.
- We have the capabilities to scale up much quicker (skipping intermediate scale up steps with traditional flasks).
- Higher fill volumes aids in less consumables being used and better growth leads to less media being required for large scale up.
Fill Volume & Shake Speed Were Optimized to Assist With Low Survivability Post-Transfection
| Vessel Sizes | Growth Recommendations | Transfection Recommendations | Assay Recommendations |
|---|---|---|---|
| 10.4mL square well round bottom – 24 deep well plate | 12.5mm throw 320rpm shake 4.5mL fill volume | 12.5mm throw 300rpm shake 3mL fill volume | 12.5mm throw 300rpm shake 3.5mL fill volume |
| 125mL Optimum Growth® Flask | 50mm throw 110rpm shake 63mL fill volume | 50mm throw 90rpm shake 47mL fill volume | 50mm throw 90rpm shake 55mL fill volume |
| 1.6L Optimum Growth® Flask | 50mm throw 110rpm shake 900mL fill volume | 50mm throw 90rpm shake 675mL fill volume | 50mm throw 110rpm shake 780mL fill volume |
| 2.8L Optimum Growth® Flask | 50mm throw 110rpm shake 1.4L fill volume | 50mm throw 90rpm shake 1.05L fill volume | 50mm throw 110rpm shake 1.21L fill volume |
| 5L Optimum Growth® Flask | 50mm throw 90rpm shake 2.5L fill volume | 50mm throw 90rpm shake 1.9L volume | 50mm throw 90rpm shake 2.19L fill volume |
Protein Quality
Charge Variants of Vessel Sizes - Average

Glycosylation Profiles

Summary
- High levels of transient production can be obtained using a combination of off the shelf products:
- CHO-K1 derived cell line
- Thomson Instrument Company Optimum Growth® Flasks
- Two separate transient transfection kits
- Optimum Growth® flasks support seamless scale up from 24 deep-well plates through 5L flasks with consistency in growth, productivity, and protein quality, enabling transient work for biotherapeutic applications
Comparison - Traditional vs Optimum Growth® Flasks
Data provided by Curia Global formally Lake Pharma
Background Information
The purpose of this study was to compare cell growth, cell viability and subsequent protein yields between traditional and Optimum Growth® shake flasks
Conditions
Case 1: HEK-293 Transient production- seeded at 2.5x106 cells/mL and incubated at 37°C, 5% CO2. Supplemented with feed on day 1. Cells were harvested on day 7.
Case 2: CHO Stable pool production- seeded at 0.8x106 cells/mL and incubated at 37°C, 5% CO2. Supplemented with feed and glucose as needed. Temperature shift to 32°C on day 5. Cells were harvested on day 14.
Thomson Solutions At Work™ is not affiliated with Curia Global or their products.
HEK-293 Transient Production Results
Optimum Growth® Flasks show better cell viability, a higher protein concentration and, due to having 2X greater volume, a higher total protein yield.
Thomson Solutions At Work™ is not affiliated with Curia Global or their products.

VCD

Viability

Protein Titer
CHO Stable Pool Production Results
Optimum Growth® Flasks show better cell viability and a higher protein concentration in a smaller footprint shake flask.
Thomson Solutions At Work™ is not affiliated with Curia Global or their products.

VCD

Culture Viability

Protein Titer
Consistent Expression From HEK293 Strains
Optimum Growth® 5L Flasks flasks consistently maximize production of your best expressers

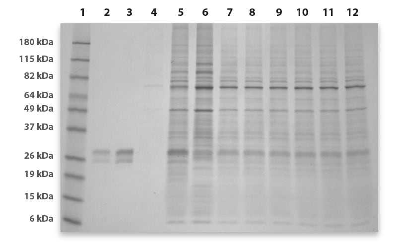
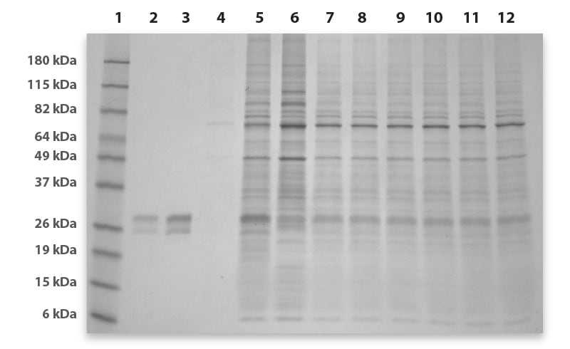
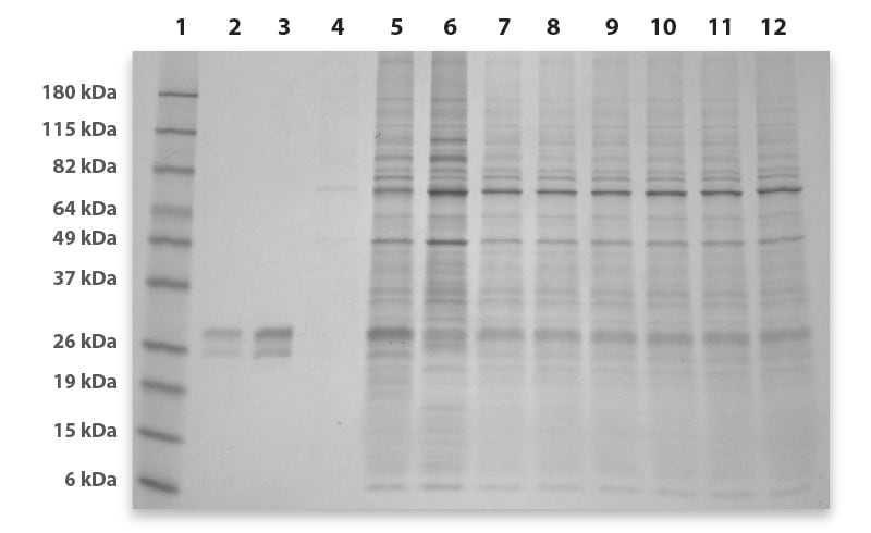
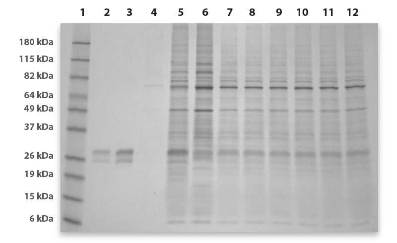
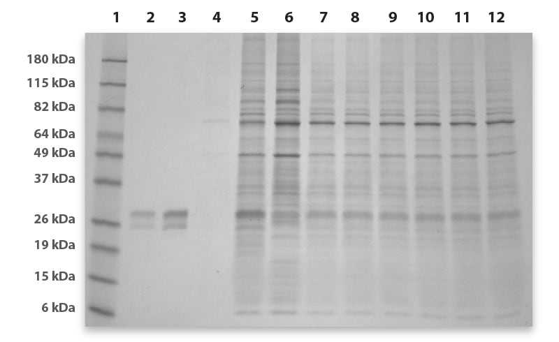
4-20% SDS-PAGE Quick Blue Stain Commassie Gel Expected MW of dimer 24.5 kDa Estimated expression level ~10-20mg/L
Low Expressing Gel
This gel shows equal bands from 5 replicates of a low expressing protein, producing roughly 10 to 20mg/L.
Gel Key
- Benchmark Pre-Stained Protein Ladder
- Purified protein, 100ng control
- Purified protein, 200ng control
- Untransfected cells, -ve control
- +ve control
- +ve control
- Protein of interest, 5L Combined Flasks #1-5
- Protein of interest, 5L Flask #1
- Protein of interest, 5L Flask #2
- Protein of interest, 5L Flask #3
- Protein of interest, 5L Flask #4
- Protein of interest, 5L Flask #5

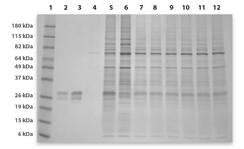
4-20% SDS-PAGE Quick Blue Stain Commassie Gel Expected MW of dimer 159.4 kDa Estimated expression level ~300mg/L
High Expressing Gel
This gel shows equal bands from 3 replicates of a high expressing protein, producing approximately 300mg/L.
Gel Key
- Benchmark Pre-Stained Protein Ladder
- Purified mAb 100ng control
- Purified mAb 250ng control
- Purified mAb 500ng control
- Purified mAb 1000ng control
- +ve control
- Protein of interest, 5L Flask #1
- Protein of interest, 5L Flask #2
- Protein of interest, 5L Flask #3
- Protein of interest, 5L Combined Flasks #1-3
Conclusion
Thomson Optimum Growth® Flasks not only ensure consistent expression from HEK293 strains, they can also increase shaker capacity.
Flask Clamp Compatibility
Refer to the chart below to find the appropriate flask clamp compatible with your shaker.
| Flask Size | Eppendorf® | INFORS HT® | Kuhner® | Fisher Scientific® | VWR® |
|---|---|---|---|---|---|
| 125mL | M1190-9001 | 12202 | SM310125 | 11-676-013 | 57019-676 |
| 250mL | M1190-9002 | 12203 | SM310250 | 11-676-014 | 57019-678 |
| 500mL | M1190-9003 | 12204 | SM310500 | 11-676-015 | 57019-682 |
| 1.6L | n/a | 12205 | SM311600 | n/a | n/a |
| 2.8L | ACE-2000S | 12251 | SM312800T | 11-676-018 | 57019-686 |
| 5L | ACE-5000S | 12209 | SM313000F | 236028 | 57019-696 |
| 7L | ACE-6000S | 31282 | 101420 U5000 | TBD | TBD |

Nationwide Technical Support
We're here to help!
Thomson employs a nationwide team of expert technical support staff ready to tackle any questions you may have regarding our products.